Sponsors

PathPresenter achieves CE mark for IVDR compliance

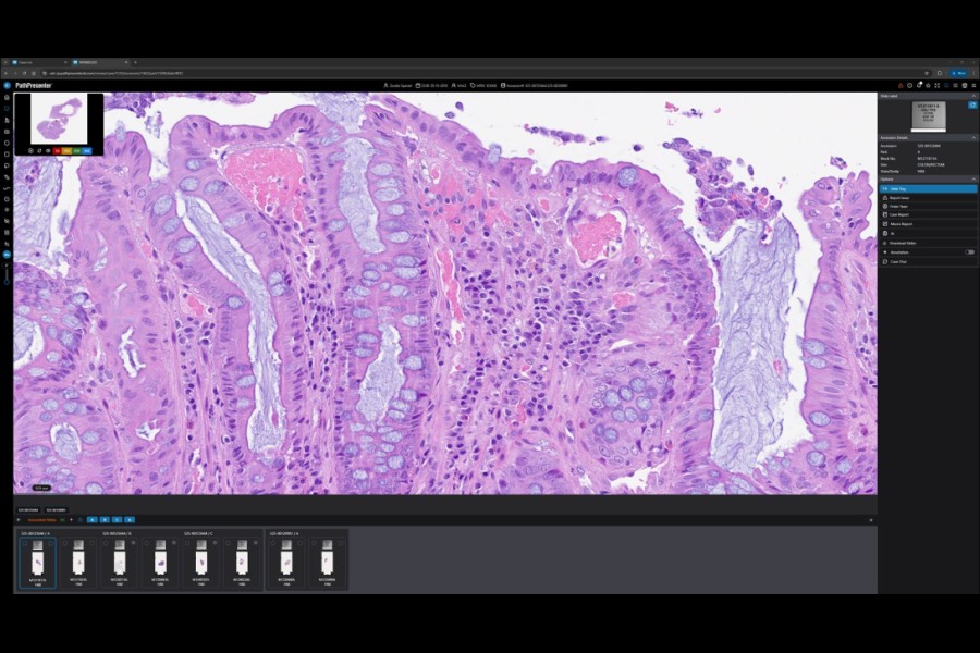
Image management system and workflow platform for digital pathology PathPresenter has announced that its Clinical Viewer has met the requirements of the EU In Vitro Diagnostic Regulation (IVDR 2017/746) and can now bear the CE mark. This certification clears it for clinical use in primary diagnosis in Europe.

The Clinical Viewer is a key part of PathPresenter’s vendor-agnostic digital pathology image management system (IMS), a comprehensive platform that includes not just slide viewing, but also workflow management, case tracking, image storage and archiving, integration with laboratory information systems (LIS), multi-user access, collaboration tools, and integrated remote second opinion capability.

“Successfully meeting In Vitro Diagnostic Regulation (IVDR) requirements not only affirms the rigor of our clinical viewer but also underscores PathPresenter’s readiness to operate at a global scale,” said Brian Matcheski, Head of Regulatory at PathPresenter. “Coupled with our recent FDA 510(k) clearance, this milestone reflects the growing trust in our clinical solutions and paves the way for meaningful expansion into the European and international markets.” 

PathPresenter’s powerful platform, designed to facilitate viewing, sharing, and collaborating on whole slide images, has been purpose-built to bridge gaps and integrate previously siloed systems. It offers a robust, secure, tech-forward platform that takes maximum advantage of whole slide imaging and digital workflows to serve the ultimate goal of a clinician’s work: to provide the best clinical care.   

To learn more about the PathPresenter platform for clinical use, visit www.pathpresenter.com/clinical-care/.

 

Latest Issues

RSM / Path Soc 2026 Winter Meeting

The Royal Society of Medicine, 1 Wimpole St, London, W1G 0AE
20 - 21 January, 2026

BIVDA Regulatory Affairs Seminar

Grand Hotel, Birmingham
10 - 11 February, 2026

BDIAP Molecular Pathology Study Day

10 Union Street, London, SE1 1SZ
2 March, 2026

USCAP 115th Annual Meeting

Henry B. González Convention Center, San Antonio, Texas, USA
21 - 26 March, 2026

Microbiology Society Annual Conference 2026

ICC Belfast, Northern Ireland
13 - 16 April, 2026