LITERATURE UPDATE ARTICLES
Varicella-zoster virus: the childhood infective agent that can reactivate later in life as shingles
While chickenpox is generally regarded as a childhood medical rite of passage, infection by the virus responsible can have serious consequences, particularly for infants, adults, pregnant women, and those with a weakened immune system. Here, Pathology in Practice Science Editor Brian Nation looks at a selection of current research into varicella virus infection.
Mohs micrographic surgery: the face of dermatopathology cooperation
Frozen section support is a vital aspect of Mohs micrographic surgery (MMS) practice. Once focused on the head and neck, MMS is extending its cutaneous reach to other areas of the body. Here, Pathology in Practice Science Editor Brian Nation selects a sample of relevant research in the current literature.
Poliovirus surveillance: a selection of current research interest
Wastewater surveillance was one of the topics on the programme at the BSMT Anniversary Microbiology Conference, held in May. Further information on this can be found elsewhere in this issue, but here Pathology in Practice Science Editor Brian Nation selects a small sample of poliovirus research interest in this area, all of which are free to access.
Metagenomics sequencing: a selection of current research interest
Metagenomics sequencing analyses DNA from a sample containing mixed microbial communities, which allows the identification and characterisation of microbes without the need for cultivation. Here, Pathology in Practice Science Editor Brian Nation selects a small sample of relevant research papers in this area, all of which are free to access.
Inflammatory bowel disease: a selection of current research interest
Advances in monitoring IBD treatment are discussed elsewhere in the May 2025 issue. To complement the coverage, Pathology in Practice Science Editor Brian Nation selects a small sample of peer-reviewed research in this area of gastroenterology.
Avian influenza virus infection: a selection of research interest
The recent spread of highly pathogenic avian influenza in the domestic and wild bird population has once again caused thoughts to turn to ongoing pandemic preparedness both in animals and humans. Here, Pathology in Practice Science Editor Brian Nation reviews a selection of current interest in this virus in the scientific literature.
Platelets and platelet counting: a selection of recent topics of investigation
As recent research illustrates, platelet function and platelet counting have wider application than simply their role in the study of haemostasis. Here, Pathology in Practice Science Editor Brian Nation compiles a selection of current interest in the medical literature.
Post-transcriptional gene regulation and the role of microRNAs
For their discovery of microRNAs, the Americans Victor Ambros and Gary Ruvkun received this year’s Nobel Prize in Physiology or Medicine. Here, Pathology in Practice Science Editor Brian Nation compiles a selection of current research interest in these tiny RNA molecules that play a crucial role in health and disease.
Anaplastic large cell lymphoma: an association with breast implants
Although rare in occurrence, breast implant-associated anaplastic large-cell lymphoma recently found its way into the national news. Here, Pathology in Practice Science Editor Brian Nation compiles a selection of current research interest in this iatrogenic disease.
Neisseria gonorrhoeae: an STI that has developed resistance mechanisms to antimicrobials
Last year, over 85,000 gonorrhoea diagnoses were reported in England, the highest number since records began in 1918. Here, Pathology in Practice Science Editor Brian Nation compiles a selection of current research interest focusing on AMR in this sexually transmitted infection.
Bordetella pertussis infection: testing for the re-emergence of whooping cough
Despite the high vaccination coverage in developed countries, Bordetella pertussis infection is considered a re-emerging disease that is underreported and underdiagnosed. Here, Pathology in Practice Science Editor Brian Nation compiles a selection of research interest.
Clustered regularly interspaced short palindromic repeats: research at the cutting edge of biomedicine
A look at the CRISPR technology that research scientists use to selectively modify the DNA of living organisms, adapted for use in the laboratory from naturally occurring genome editing systems found in bacteria. Here, Pathology in Practice Science Editor Brian Nation compiles a selection of current research interest.
Digital pathology and artificial intelligence: a selection of research at the cutting edge of practice
The adoption of digital pathology into routine histopathology practice is not without its problems in terms of implementation, changing work practices and staff acceptance. Here, Pathology in Practice Science Editor Brian Nation compiles a selection of research devoted to such issues, and also examples of the value this technology offers to patient care and outcome.
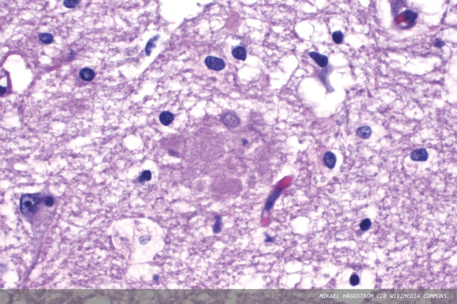
Alzheimer’s disease: a selection of recent research into biomarkers and genetic factors
Alzheimer’s disease is the most common cause of dementia, presenting as a gradual decline in memory, thinking, behaviour and social skills. New tests might be able to diagnose the disease when symptoms are very mild, so that the latest therapeutic advances in the field can be applied. Here, Pathology in Practice Science Editor Brian Nation compiles a small selection of current research interest.
Candida auris: a selection of current research into this drug-resistant fungal pathogen
In the December 2023 issue of this magazine, Markus Meyer looked at how early and accurate identification can assist in controlling outbreaks of Candida auris, thanks to advances in polymerase chain reaction testing and strain typing technology. Here, to complement previous coverage, Pathology in Practice Science Editor Brian Nation compiles a small selection of recent research interest in this important fungal agent.
HeLa cell culture: a selection of current research using these immortal cells
There can be few medical scientists who have not heard of HeLa cells; the cultured cell line derived from the biopsy of a glandular cervical cancer from an American woman named Henrietta Lacks. The full history both of the lady and her immortal cells is charted eloquently by Rebecca Skloot in her book The Immortal Life of Henrietta Lacks. Here, some 70 years since the tissue was taken, Pathology in Practice Science Editor Brian Nation compiles a small selection of recent research undertaken using HeLa cells.
Testing for kidney disease: a selection of interest in the current literature
Kidney function tests on urine and blood are a ubiquitous feature of the workload in clinical chemistry laboratories. Disease often has no symptoms until damage to the kidney is at an advanced stage, hence pathology testing is a vital service. Here, Pathology in Practice Science Editor Brian Nation compiles a small selection of recent research interest in nephrology.
Genome amplification techniques: a selection of current research interest
The repeated replication of a focused segment of genetic material by polymerising nucleotides is just one concept applicable to numerous fields in modern molecular biology and related sciences. Here, Pathology in Practice Science Editor Brian Nation compiles a small selection of recent research interest in this rapidly developing field.
Liquid biopsy applications: a selection of current research interest
Liquid biopsy is a minimally invasive approach to determine the presence of malignant tumours, looking for evidence of tumour cells and cancer cell DNA circulating in blood, and potentially also in body fluids such as urine, sputum and saliva. Here, Pathology in Practice Science Editor Brian Nation compiles a small selection of recent research interest in this fascinating field.
Bacteriophages vs. antibiotic resistance: opportunities in the latest scientific literature
In a post-pandemic world, it is perhaps counter-intuitive to suggest that viral agents could contribute to medicine’s fight against the rise of antimicrobial resistance. However, the use of bacteriophages against bacterial infection predates the antibiotic era, so what are some of the opportunities currently being explored? Here, Pathology in Practice Science Editor Brian Nation compiles a small selection of recent research interest.
Latest Issues
Your partner for equipment and consumables for medicine and science
Sarstedt, one of the world's leading providers of laboratory and medical equipment, develops, manufactures and sells equipment and consumables in the field of medicine and science.
Founded in 1961, the company has continued to grow to the point where it now employs a...
RSM / Path Soc 2026 Winter Meeting
The Royal Society of Medicine, 1 Wimpole St, London, W1G 0AE
20 - 21 January, 2026
BIVDA Regulatory Affairs Seminar
Grand Hotel, Birmingham
10 - 11 February, 2026
BDIAP Molecular Pathology Study Day
10 Union Street, London, SE1 1SZ
2 March, 2026
USCAP 115th Annual Meeting
Henry B. González Convention Center, San Antonio, Texas, USA
21 - 26 March, 2026
Microbiology Society Annual Conference 2026
ICC Belfast, Northern Ireland
13 - 16 April, 2026