Sponsors

AI solution shows high concordance with pathologists in HER2 interpretation for advanced biliary tract cancer

AI cancer diagnostics and precision oncology firm Lunit has announced that a new study evaluating its AI-powered pathology solution, Lunit SCOPE HER2, has been published, in which it demonstrates high concordance with pathologists in HER2 interpretation for advanced biliary tract cancer (cholangiocarcinoma).

The study has been published in the journal Laboratory Investigation, the official journal of the United States and Canadian Academy of Pathology (USCAP).

The study examined the consistency of HER2 immunohistochemistry (IHC) interpretation in advanced biliary tract cancer (BTC) by comparing assessments from pathologists using light microscopy and digital pathology with results generated by Lunit SCOPE HER2. BTC is a rare and aggressive cancer in which accurate biomarker evaluation is critical for identifying patients who may benefit from HER2-targeted therapies.

Conducted by investigators at CHA Bundang Medical Center and CHA Ilsan Medical Center in South Korea, in collaboration with Lunit researchers, the retrospective analysis included 309 HER2-stained whole-slide images from 291 advanced BTC patients treated between 2019 and 2022. Three board-certified pathologists independently evaluated HER2 expression, and their assessments were compared against AI-based scoring performed using Lunit SCOPE HER2.

According to the study, complete agreement among pathologists was observed in 62.1% of light microscopy assessments and 63.4% of digital pathology assessments, reflecting the inherent variability in HER2 interpretation. Against this background, Lunit SCOPE HER2 achieved an overall concordance rate of 83.5% with pathologist-defined ground truth, indicating close alignment with expert-reviewed interpretations.  The findings underscore the well-recognised challenges of HER2 interpretation in biliary tract cancer, particularly in cases with low or borderline expression, where variability among pathologists was more pronounced. Within this context, the study suggests that AI-based analysis may help support more consistent interpretation when integrated into digital pathology workflows.

"Accurate and consistent biomarker assessment is critical as precision oncology continues to expand into more complex and less common cancers," said Brandon Suh, CEO of Lunit. "This study shows that AI-powered pathology can closely align with expert pathologists in HER2 interpretation for biliary tract cancer, an area where variability has been a longstanding challenge. We believe AI can play a meaningful role in supporting more standardized and reproducible decision-making as new targeted therapies emerge."

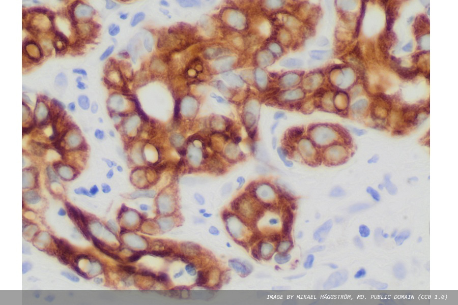
The image above shows immunohistochemistry for CK19 cytokeratin-19 in metastatic cholangiocarcinoma to the liver.

  • Kim H, Heo J, Cho SI, et al. Pathologist-Artificial Intelligence Concordance in HER2 Interpretation for Advanced Biliary Tract Cancer: Intraobserver, Interobserver, and Human-Artificial Intelligence Variability. Lab Invest. 2026;106(1):104259. doi:10.1016/j.labinv.2025.104259

 

Latest Issues

RSM / Path Soc 2026 Winter Meeting

The Royal Society of Medicine, 1 Wimpole St, London, W1G 0AE
20 - 21 January, 2026

BIVDA Regulatory Affairs Seminar

Grand Hotel, Birmingham
10 - 11 February, 2026

BDIAP Molecular Pathology Study Day

10 Union Street, London, SE1 1SZ
2 March, 2026

USCAP 115th Annual Meeting

Henry B. González Convention Center, San Antonio, Texas, USA
21 - 26 March, 2026

Microbiology Society Annual Conference 2026

ICC Belfast, Northern Ireland
13 - 16 April, 2026