Sponsors

NHS introducing new personalised immunotherapy treatment for leukaemia

Patients with an aggressive form of leukaemia will be able to receive a breakthrough immunotherapy on the NHS that saw over three-quarters of patients go into remission in trials.

The CAR T-cell therapy using obecabtagene autoleucel (obe-cel) involves taking a patient’s immune cells and reprogramming them in a laboratory to identify and target their cancer, before returning them to the body.

NHS England has announced that the personalised therapy will be available on the NHS within weeks through specialist centres. Eligible patients will receive two doses of CAR-T therapy intravenously, 10 days apart, with the treatment being delivered at selected specialist CAR-T centres across the country.

The treatment will be available to people aged 26 and over living with B-cell acute lymphoblastic leukaemia (ALL) which has returned or not responded to previous treatment, following approval from the National Institute for Health and Care Excellence. It is estimated that is could be administered to around 50 patients each year in England.

In a clinical trial, 77% of patients saw their cancer enter remission after treatment with obe-cel, with half of those showing no signs of detectable cancer after three and a half years. On average, the treatment gave patients 15.6 months additional months of life.

The treatment – which has been researched, developed and manufactured in the UK – was also found to have lower toxicity and was less likely to cause serious side effects than other CAR (chimeric antigen receptor) T-cell therapies.

Professor Peter Johnson, NHS National Clinical Director for Cancer, said: “This cutting-edge therapy has shown real promise in trials and could give patients with this aggressive form of leukaemia a chance to live free from cancer for longer – and, for some, it could offer the hope of a cure. This ‘living medicine’ boosts a patient’s own immune system and then guides T-cells towards the cancer to kill it – it is fantastic to have another pioneering option available on the NHS, adding to our range of CAR-T therapies which are helping people with blood cancers live longer, healthier lives.”

Acute lymphoblastic leukaemia is an aggressive cancer in the blood and bone marrow, with around 800 people being diagnosed in the UK every year, around half of which are in adults. Data show patients with aggressive forms of the cancer receiving chemotherapy, the current routine standard of care, live for just 10 months on average after treatment.

The therapy will be fast tracked to patients more quickly than the standard 90-day implementation period thanks to interim funding from the NHS’s Cancer Drugs Fund.

This is the latest personalised CAR-T therapy offered by the NHS in England since it was the first health system in Europe to offer CAR-T in 2018. The NHS now offers a range of CAR-T treatments for different forms of blood cancers to treat adults and children.

Dr Claire Roddie, UCLH consultant haematologist and associate professor at the UCL Cancer Institute said: “I am delighted to hear of NICE’s decision. Many more patients now stand to benefit from CAR-T cell therapy on the NHS. We have been working on proving the safety and efficacy of this drug for B-cell ALL since 2017 and it has brought together clinical and research teams from UCL and UCLH, with support from government and arms-length bodies like the NIHR and the BRC as well as the pharmaceutical industry. The many, many people involved in this work can feel immensely proud of this achievement which will help save the lives of many more patients.”

Aucatzyl (obecabtagene autoleucel) is manufactured by Autolus Therapeutics, a spin-out from University College London, and will be made in Stevenage, which is home to multinational pharmaceutical companies and the Cell and Gene Therapies Catapult.

Patients experienced mild to moderate side effects from the treatment, with Cytokine Release Syndrome the most common side effect, which happens when the immune system goes into overdrive after treatment, causing influenza-like symptoms.

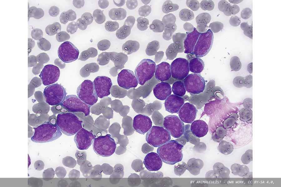
Pictured is a bone marrow aspirate smear from a person with precursor B-cell acute lymphoblastic leukaemia (Wright's stain). 

 

Latest Issues

ESCMID Global 2026

Messe München Munich, Germany
17-21 April, 2026

39th International Symposium on Technical Innovations in Laboratory Hematology

Edinburgh International Convention Centre
17-19 April, 2026

Specialist Staining – Technical Issues Master Class

The Haylofts, St Thomas Street, Haymarket, Newcastle, NE1 4LE, UK
28 April, 2026

London GI Pathology Update 2026

Barbican Centre, London; and online.
28 April - 1 May

Power to Disrupt : Leaders in POCT Diagnostics

Leonardo Royal Hotel, 245 Broad St, Birmingham, B1 2HQ
5 May, 2026