Sponsors

Phaeochromocytoma and paraganglioma: testing for rare neuroendocrine tumours

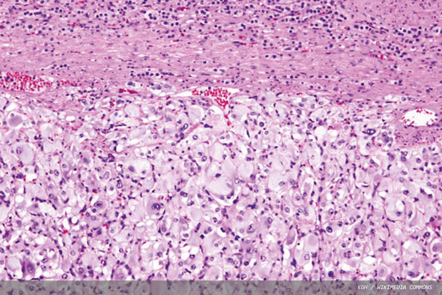
Phaeochromocytomas and paragangliomas develop from neuroendocrine chromaffin cells. Tumours developing from such cells are called phaeochromocytomas if found in the medulla of the adrenal gland, or paragangliomas if growing elsewhere in the body. Here, Pathology in Practice Science Editor Brian Nation looks at a selection of current research in the literature.

Update on the diagnosis of the pheochromocytoma

Achote E, Arroyo Ripoll OF, Araujo-Castro M. Hipertens Riesgo Vasc. 2025 Jan-Mar; 42 (1): 43–51. doi:10.1016/j.hipert.2024.08.001. Epub 2024 Oct 10.

Phaeochromocytoma is a rare neuroendocrine tumour that develops from chromaffin cells in the adrenal medulla and is characterised by the excessive production of catecholamines and their metabolites. Diagnostic confirmation is performed by detecting elevated levels of catecholamines and/or their metabolites in plasma or 24-h urine. 

Log in or register FREE to read the rest

This story is Premium Content and is only available to registered users. Please log in at the top of the page to view the full text. If you don't already have an account, please register with us completely free of charge.

Latest Issues

ESCMID Global 2026

Messe München Munich, Germany
17-21 April, 2026

Specialist Staining – Technical Issues Master Class

The Haylofts, St Thomas Street, Haymarket, Newcastle, NE1 4LE, UK
28 April, 2026

London GI Pathology Update 2026

Barbican Centre, London; and online.
28 April - 1 May

Power to Disrupt : Leaders in POCT Diagnostics

Leonardo Royal Hotel, 245 Broad St, Birmingham, B1 2HQ
5 May, 2026

Diagnostic Cytopathology – Beginners Master Class

The Haylofts, St Thomas Street, Haymarket, Newcastle, NE1 4LE, UK
5 May, 2026