Sponsors

New collaboration to evaluate AI-powered platform as a predictive tool for breast cancer trials

Ataraxis AI, a frontier laboratory developing artificial intelligence–powered prognostic tools for oncology, and Medica Scientia Innovation Research (MEDSIR), a global leader in oncology research, have announced a strategic collaboration to integrate AI into multiple major international trials.

These studies, involving data from more than 1,000 patients across randomised clinical trials, aim to identify biomarkers that can optimise treatment strategies for breast cancer, including therapies with CDK4/6 inhibitors and antibody-drug conjugates (ADCs).

MEDSIR has been a key contributor to oncology clinical trials, helping support the advancement of transformative therapies into standard practice. These efforts have expanded access to novel treatment options and improved outcomes for patients worldwide. The introduction of new therapeutics creates an opportunity but also a challenge to select the right drug for every patient. Ataraxis addresses this critical need with Ataraxis Breast, the first AI-native platform in breast cancer developed to predict patient outcomes and treatment effects. By integrating insights from standard digital pathology slides with clinical data, the platform provides a new evidence-based layer to support treatment decisions and personalise care.

Building upon Ataraxis' previous positive clinical validation results showing efficacy across major breast cancer subtypes, the research collaboration between MEDSIR and Ataraxis AI will focus on leveraging artificial intelligence to predict outcomes across key breast cancer subtypes - including HR+ and HER2+ cohorts - encompassing patients in early-stage and metastatic settings. The goal is to enhance clinical decision-making by integrating AI-driven insights into routine oncology workflows.

“Breast cancer treatment continues to improve, with new therapies becoming available every year. However, this creates a challenge in selecting the right drug at the right time. At Ataraxis, we are developing AI-native tools to accurately predict patient outcomes and treatment response for all cancer patients. We are proud to partner with MEDSIR to validate our breast cancer platform using data from practice-changing clinical trials,” said Jan Witowski, Chief Executive Officer and Co-Founder of Ataraxis AI.

“At MEDSIR, we are committed to accelerating innovation in oncology through collaborative research that brings real value to patients and clinicians,” said Alicia García, Scientific Director at MEDSIR. “Partnering with Ataraxis AI allows us to integrate cutting-edge artificial intelligence into clinical trials, generating evidence that can transform treatment decision-making in breast cancer. This collaboration represents an important step toward a future where precision oncology is not just a concept, but a standard of care.”

This announcement demonstrates the commitment to building global collaborative networks for both MEDSIR and Ataraxis AI. With strategic headquarters in Europe and the United States, MEDSIR has built an extensive global network of more than 600 researchers and has conducted 65 clinical trials across more than 200 sites in 14 countries. Ataraxis AI has partnerships with over 40 institutions on the development, validation, and deployment of AI-based tools for treatment selection.

Additionally, this collaboration marks a milestone in building clinical evidence for Ataraxis Breast moving beyond retrospective observational studies and into prospective trials investigating new therapies.

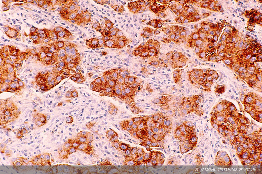
Pictured is an infiltrating ductal carcinoma of breast. The cytoplasm of the tumour cells is stained brown using an immunohistochemistry method to detect carcinoembryonic antigen (CEA). 

 

Latest Issues

USCAP 115th Annual Meeting

Henry B. González Convention Center, San Antonio, Texas, USA
21-26 March, 2026

Analytica 2026

Messe München, Munich, Germany
24-27 March, 2026

Introduction to Cellular Components, Tissue Morphology and Tissue Recognition Master Class

The Haylofts, St Thomas Street, Haymarket, Newcastle, NE1 4LE, UK
7 April, 2026

Microbiology Society Annual Conference 2026

ICC Belfast, Northern Ireland
13 - 16 April, 2026